MRIDIAN

腫瘍を見ながら治療する時代へ

MRIdianシステム

MRI DIAN SYSTEM

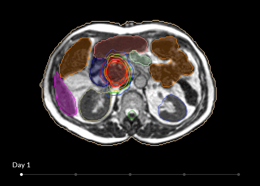
軟部組織の描出を得意とするMRIと放射線治療装置を組み合わせたMRリニアックシステム。放射線治療における次世代のソリューション。

PRO DUCT SPEC

MRIdianシステムを使用することによって、軟部組織を観察し、照射を視覚化して調整し、治療をコントロールすることが可能です。

  • 01. Split MRI Magnet
  • 02. Double-focused MLC
  • 03. Patient table
  • 04. Linear accelerator
  • 05. Magnetic & RF shielding technology

COMPANY

  • COMPANY
  • ViewRay Inc.,(NASDAQ:VRAY)
  • ADDRESS
  • ViewRay Headquarters:2 Thermo Fisher Way, Oakwood Village, OH 44146
    West Coast Office:815 E Middlefield Rd, Mountain View, CA 94043